Noticias

Tras sobredosis de cocaína: Hombre defeca semen y orina por 2 años

El sujeto habría buscado ayuda médica luego de sentir un fuerte dolor testicular por 5 días, revelando a los doctores su extraño problema.

Cocaine And Razor Blade
Crédito: GettyImages

Un equipo de doctores documentó lo que ellos definieron como un «curioso caso de eyaculación rectal».

Un hombre de 33 años de edad fue a buscar ayuda médica luego de haber sufrido de un intenso dolor testicular por 5 días. Lamentablemente, el malestar terminó siendo el menor de los problemas de salud por los que estaba pasando este paciente.

Según reportó IFLScience, Durante 2 años el sujeto estuvo «liberando gases y fecas» a través de su orina (condiciones que se conocen como pneumaturia y fecaluria). Y eso no es todo, el paciente también estuvo desechando una «importante cantidad» de orina y semen a través de su recto.

En otras palabras, todos los desechos sólidos, líquidos y gaseosos estaban saliendo por los conductos incorrectos. Todo esto, mucho antes de que el paciente presentara un fuerte dolor testicular.

El equipo a cargo de tratar al sujeto, quienes publicaron su estudio de caso en la revista Cureus, descubrió que además el hombre contaba con un testículo inflamado. Los resultados de sus exámenes mostraron que el hombre presentaba una infección en su tracto urinario. Mientras que otras pruebas mostraron que padecía de un problema en su pared rectal.

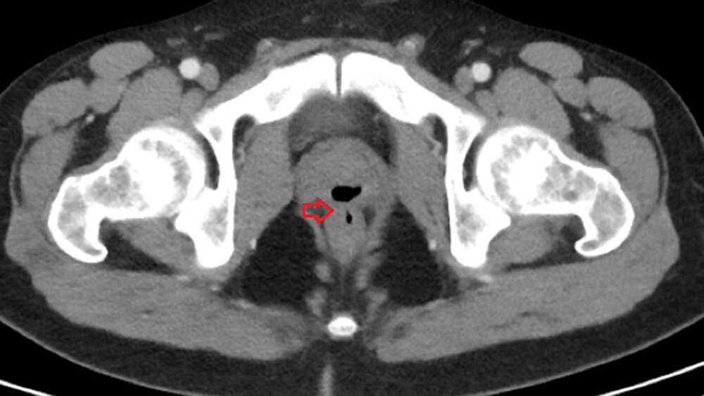
Un escáner reveló la causa de todos los problemas del paciente.

Eyaculación rectal
Crédito: IFLScience 

¿Qué salió mal?

La radiografía mostró una «estructura llena de gas». Exámenes más específicos revelaron la presencia de una «fístula» (es decir un conducto interno anormal) entre el recto y la uretra, por donde se habían estado intercambiando diferentes fluídos.

Los doctores repararon rápidamente el daño, y a la vez descartaron como causa de la condición a la tuberculosis; al síndrome del colon irritable; a algún trauma rectal; o a alguna penetración.

Los expertos descubrieron que el desperfecto se produjo cuando el paciente cayó en coma luego de haber sufrido una sobredosis de cocaína. En su estadía de 3 semanas en el hospital, una mala aplicación de un catéter de Foley perforó sus intestinos.

«Los expertos deberían tener más cuidado con la aplicación de este catéter. Este caso no solo demuestra que pueden haber complicación con dicho procedimiento, sino que también destaca la importancia del trabajo medico fino y su correcta aplicación», concluyeron los expertos en su paper.


Contenido patrocinado

Compartir