El trastorno hizo que el paciente llegara a comer estos objetos para tratar de controlarla.
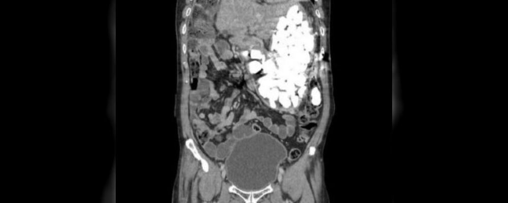
Fue a mediados de enero, cuando un hombre de 57 años llegó aquejado por un fuerte dolor de estómago hasta la emergencia de un hospital de la ciudad de Goyang, en Corea del Sur. No se trataba de un caso cualquiera: el paciente sufría ansiedad crónica y para intentar controlarla había tragado piedras, tapas de botellas y monedas.
En total, todos estos objetos pesaban dos kilos. La extracción de los residuos fue llevada a cabo el por cirujano Pyong Wha Choi, quien publicó detalles del procedimiento en la revista Journal of Medical Case Reports.
Al descubrir mediante un escáner los objetos en el estómago del hombre, explicó el médico, este reveló que los había estado ingiriendo durante la última semana debido a severos ataques de ansiedad, pese que llevaba a cabo un tratamiento con pastillas para controlar su comportamiento.
En el hospital intentaron extraer los objetos desde el estómago mediante una gastroscopía, insertando un tubo delgado en el estómago a través de la boca, pero este procedimiento falló debido a la gran cantidad de metales presentes en el organismo.
Choi determinó que era necesario realizar una cirugía, en la que accedieron a su estómago y retiraron una por una las piedras y los demás objetos que el paciente había tragado.
